Understanding Iideckplattenimpressionsfraktur Lwk 1

P.Serviceform 105 views
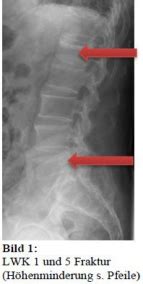
Understanding Iideckplattenimpressionsfraktur Lwk 1

Understanding iideckplattenimpressionsfraktur Lwk 1

Hey guys! Let’s dive into something a bit technical today: iideckplattenimpressionsfraktur Lwk 1 . Now, I know that sounds like a mouthful, but don’t worry, we’re going to break it down. Basically, we’re looking at a specific type of fracture, and it’s super important to understand it, especially if you’re dealing with anything related to medical fields or if you’re just curious about how our bodies work. This article will serve as a comprehensive guide, making sure you grasp the key aspects of iideckplattenimpressionsfraktur Lwk 1. So, buckle up; we’re about to embark on a learning adventure!

What Exactly is iideckplattenimpressionsfraktur Lwk 1?

So, what in the world does iideckplattenimpressionsfraktur Lwk 1 actually mean? Well, let’s dissect it. The term refers to a specific type of fracture, but it can be really difficult to find information online. Let’s make sure we find an answer. Each part of the phrase gives us a clue. ‘Fraktur’ is German for ‘fracture’, so we know we’re talking about a break in a bone. However, iideckplattenimpressionsfraktur could mean various things. The ‘Lwk 1’ part likely refers to a location in the spine, specifically the first lumbar vertebra (L1). The complete definition is more complex and depends on the specific terminology of the medical professionals who used it. Understanding this requires a deep dive into medical terminology, but basically, we are referring to a fracture that involves a part of the lumbar spine, specifically the first lumbar vertebra (L1).

This kind of fracture can happen due to a variety of reasons, ranging from high-impact trauma (like a car accident or a fall from a significant height) to more subtle causes such as osteoporosis, which weakens the bones, making them more susceptible to breaks. The nature of the fracture can vary, from simple cracks to more complex breaks involving multiple fragments. The specifics depend on the force involved and the overall health of the bone. Diagnosing it typically involves imaging techniques such as X-rays, CT scans, or MRI scans to visualize the fracture and assess the extent of the damage. Treatment options also vary, and that depends on the severity of the fracture, but can include anything from rest and pain management to more invasive procedures such as surgery to stabilize the spine.

The Importance of Early Diagnosis

Early diagnosis is critical. If a fracture of this nature isn’t diagnosed and treated promptly, it can lead to chronic pain, mobility issues, and even neurological complications if the spinal cord is affected. Quick intervention can significantly improve the outcome and prevent long-term problems. If you experience back pain after an injury, especially if the pain is severe or accompanied by other symptoms like numbness, tingling, or weakness in your legs, you should seek medical attention right away. Early intervention can lead to a much quicker recovery.

Symptoms and Diagnosis of iideckplattenimpressionsfraktur Lwk 1

Alright, let’s talk about the telltale signs and how this particular fracture gets diagnosed. Recognizing the symptoms and understanding the diagnostic process is super important for anyone experiencing or suspecting a fracture in the lumbar region. Being able to quickly spot the signs can make a big difference in getting timely medical attention and improving the chances of a full recovery.

Common Symptoms

The symptoms of iideckplattenimpressionsfraktur Lwk 1 can vary in intensity, but here are some of the most common ones:

  • Severe back pain : This is usually the most noticeable symptom, and it often intensifies with movement. The pain might be localized to the lower back or can radiate to other areas such as the hips or legs.
  • Pain that worsens with movement : Simple movements like bending, twisting, or even walking can significantly aggravate the pain.
  • Tenderness : Touching or applying pressure to the affected area will likely cause pain.
  • Muscle spasms : The muscles around the fracture site may spasm, adding to the discomfort.
  • Numbness or tingling : In some cases, if the fracture affects the nerves, you might experience numbness or tingling in the legs or feet.
  • Difficulty moving : Depending on the severity of the fracture, you might have difficulty moving or standing.

Diagnostic Procedures

So, how do doctors figure out if you’ve got this fracture? Diagnosing iideckplattenimpressionsfraktur Lwk 1 usually involves a combination of physical examination, patient history, and imaging tests:

  • Physical examination : The doctor will start with a physical exam to assess your pain levels, range of motion, and any neurological symptoms.
  • Patient history : They’ll ask about your medical history, any recent injuries, and the nature of your pain.
  • X-rays : X-rays are often the first step in diagnosing a fracture. They can show the basic structure of the bones and help identify breaks.
  • CT scans : If the X-rays aren’t enough, a CT scan might be used. CT scans provide more detailed images, which can reveal the extent of the fracture and any damage to surrounding tissues.
  • MRI scans : MRI scans are the gold standard for soft tissue imaging. They can show damage to the spinal cord, ligaments, and other soft tissues, helping doctors get a comprehensive picture of the injury.

Treatment Options for iideckplattenimpressionsfraktur Lwk 1

Okay, let’s get into the nitty-gritty of what happens after a diagnosis. Treatment strategies are going to depend on the severity of the fracture, the patient’s overall health, and other individual factors. Understanding the available options is crucial for making informed decisions about your care and recovery.

Non-Surgical Treatments

For less severe fractures, the first line of treatment may be non-surgical. These methods focus on pain management and promoting the natural healing process:

  • Pain medication : Over-the-counter pain relievers, such as ibuprofen or acetaminophen, can help manage pain. In some cases, the doctor might prescribe stronger pain medications.
  • Rest : Avoiding activities that put stress on the spine is essential. This allows the fracture to heal without further aggravation.
  • Bracing : A back brace can provide support and stability to the spine, reducing movement and promoting healing. There are many types of braces, and the doctor will select the best option based on the nature of the fracture.
  • Physical therapy : Once the initial pain subsides, physical therapy can help improve strength, flexibility, and range of motion. Therapists will often teach exercises to strengthen the back muscles and improve posture.

Surgical Treatments

For more severe fractures, surgery might be necessary. The goal of surgical intervention is to stabilize the spine, reduce pain, and prevent long-term complications:

  • Spinal fusion : This procedure involves fusing the fractured vertebra to the adjacent vertebrae, which stabilizes the spine. This involves using bone grafts and hardware (such as screws and rods) to hold the vertebrae together until they heal.
  • Vertebroplasty : In this procedure, bone cement is injected into the fractured vertebra to stabilize it and reduce pain. It’s often used for compression fractures, where the vertebra has collapsed.
  • Kyphoplasty : Similar to vertebroplasty, kyphoplasty involves inserting a balloon into the vertebra to create space before injecting the bone cement. This can help restore some of the height and shape of the vertebra.

Recovery and Rehabilitation for iideckplattenimpressionsfraktur Lwk 1

Now, let’s talk about the journey from diagnosis to feeling like yourself again. Recovery from an iideckplattenimpressionsfraktur Lwk 1, like any fracture, is a process that involves rest, rehabilitation, and patience. The goal is to regain strength, mobility, and function, while also minimizing the risk of future problems. Let’s explore what that journey typically looks like and what you can do to support your body’s healing.

The Importance of Rest and Activity

Initially, rest is crucial. Avoiding activities that put stress on your spine is key to allowing the fracture to heal. This might mean taking a break from work, sports, or other strenuous activities. However, it’s also important to maintain some level of activity, as prolonged inactivity can lead to muscle weakness and stiffness. As the pain subsides and healing progresses, a gradual return to activity is usually recommended, guided by a physical therapist or doctor.

Physical Therapy and Exercise

Physical therapy plays a vital role in recovery. A physical therapist will design a program to restore strength, flexibility, and range of motion. The exercises may include:

  • Range-of-motion exercises : These help to regain flexibility and prevent stiffness.
  • Strengthening exercises : Exercises to strengthen the back muscles, abdominal muscles, and core muscles are essential for supporting the spine and improving posture.
  • Aerobic exercise : Low-impact aerobic activities, such as walking or swimming, can improve cardiovascular fitness and overall health.

Managing Pain and Preventing Complications

Effective pain management is crucial throughout the recovery process. This might involve medication, such as over-the-counter pain relievers or prescription drugs, and other techniques, such as applying ice or heat. It’s also important to be aware of potential complications, such as chronic pain or mobility issues, and to take steps to prevent them. This might include:

  • Following your doctor’s instructions carefully : This includes taking medications as prescribed, attending all follow-up appointments, and adhering to the physical therapy plan.
  • Maintaining a healthy weight : Excess weight can put extra stress on the spine, so maintaining a healthy weight is beneficial.
  • Practicing good posture : Good posture helps to support the spine and reduce strain.
  • Avoiding activities that put stress on the spine : This includes heavy lifting, twisting, and bending. Making sure that you are following recommendations from your doctor is extremely important.

Long-Term Outlook and Prevention

So, what can you expect in the long run, and are there things you can do to prevent this from happening again? Understanding the long-term outlook and taking proactive steps can really boost your overall well-being. Let’s delve into what the future might hold and how you can take charge of your spinal health.

Long-Term Outlook

The long-term outlook for individuals with iideckplattenimpressionsfraktur Lwk 1 depends on several factors, including the severity of the fracture, the effectiveness of the treatment, and the patient’s overall health and lifestyle. With proper treatment and rehabilitation, many people recover fully and regain their pre-injury level of function. However, some individuals may experience chronic pain, stiffness, or mobility issues. Regular follow-up appointments with your healthcare provider are crucial to monitor progress and address any concerns.

Prevention Strategies

Preventing this type of fracture involves strengthening bones and reducing the risk of falls and injuries. Here are some strategies you can implement:

  • Maintain strong bones : Eat a diet rich in calcium and vitamin D, and consider taking supplements if needed. Engage in weight-bearing exercises, such as walking, running, or weight training, to build and maintain bone density.
  • Prevent falls : Take steps to reduce your risk of falls, such as removing tripping hazards from your home, using assistive devices if needed, and improving your balance. Exercise regularly to maintain your balance and agility.
  • Use proper body mechanics : When lifting objects, bend at the knees and keep your back straight. Avoid twisting or bending your spine when lifting. Use appropriate protective gear during sports and other activities.
  • Quit smoking and limit alcohol consumption : Smoking and excessive alcohol consumption can weaken bones and increase the risk of fractures.

Conclusion

Alright, guys, we’ve covered a lot of ground today! From the initial definition of iideckplattenimpressionsfraktur Lwk 1 , to the various treatment options and the path to recovery, you’re now equipped with a solid understanding of this fracture. Remember, if you suspect you or someone you know might have this type of fracture, don’t hesitate to seek medical attention. Early diagnosis and treatment can make a huge difference in long-term outcomes. Stay informed, stay active, and take care of your body. Thanks for joining me on this deep dive – until next time!